Przed zabiegiem implantacji

Zabieg wprowadzenia implantów dentystycznych do kości szczęk zawsze poprzedzony jest procedurami, które mają na celu dokładne zbadanie i analizę warunków kostnych, stanu jamy ustnej oraz ogólnych warunków zdrowotnych pacjenta. Pobierane są także wyciski anatomiczne, na podstawie których laboratorium wykonuje modele diagnostyczne obu szczęk. Ważną częścią tych wizyt jest też wyjaśnienie pacjentowi zasad leczenia implantologicznego, czasu jego trwania oraz kosztów.

Na podstawie wywiadu i wszystkich przeprowadzonych badań następuje kwalifikacja pacjenta do zabiegu. Przy braku przeciwwskazań, lekarz przystępuje do planowania zabiegu, które przedstawione i dokładnie wyjaśnione pacjentowi, musi być przez niego zaakceptowane złożeniem podpisu wyrażającego zgodę na zabieg.

Jeśli zastanawiają się Państwo w jaki sposób uzupełnić utracone uzębienie, być może leczenie implantologiczne będzie tym czego oczekujecie. Na spotkaniu konsultacyjnym postaramy się odpowiedzieć na nurtujące Was pytania. Przedstawimy możliwości jakie daje nam leczenie przy pomocy implantów dentystycznych, poszczególne jego etapy i metody zabiegowe. Określony zostanie przybliżony czas trwania i koszt takiej terapii.

Porozmawiamy także o ryzyku, gwarancjach i odpowiedzialności spoczywającej zarówno po stronie lekarza jak i pacjenta.
Istotną sprawą dla całego procesu leczenia implantologicznego są Państwa oczekiwania co do jego efektów protetycznych i kosmetycznych. Nie zawsze istnieje możliwość ich bezpośredniej realizacji. Często uzyskanie optymalnych wyników leczenia implantologicznego wymaga przeprowadzenia dodatkowych zabiegów, takich jak odbudowa kości czy tkanek miękkich. Nierzadko też wstępem do leczenia za pomocą implantów jest np. leczenie ortodontyczne. To wszystko postaramy się omówić na wstępnej wizycie, po której zawsze mają Państwo czas na podjęcie decyzji.

Jeśli zdecydujecie się Państwo na leczenie implantami, przystąpimy do bardziej szczegółowych badań, mających na celu zakwalifikowanie Was do zabiegu oraz optymalne zaplanowanie całości leczenia.

Poprosimy Państwa o przekazanie nam informacji o swoim ogólnym stanie zdrowia. Bardzo zależy nam na uzyskaniu wszystkich danych dotyczących przebytych chorób oraz chorób na które aktualnie się Państwo leczycie. Zapytamy o leki, które przyjmujecie oraz o zabiegi i operacje chirurgiczne wykonane w przeszłości.Wszystkie uzyskane informacje zostaną odnotowane w specjalnym formularzu-ankiecie.
Dokładny wywiad lekarski pozwala nam na ustalenie istnienia ewentualnych przeciwwskazań do leczenia implantologicznego ze względu na ogólny stan zdrowia.

Przeciwwskazania względne – możliwe do wyeliminowania poprzez odpowiednią terapię

  • wiek pacjenta – młodzi poniżej 16 roku życia nie mogą zostać poddani zabiegowi  implantacji, ponieważ ich kościec nie jest jeszcze w pełni rozwinięty
  • zanik kości szczęk – konieczna wcześniejsza odbudowa kości
  • choroby układu krążenia
  • choroba reumatyczna
Przeciwwskazania bezwzględne – wykluczają możliwość implantacji

  • ciężkie choroby psychiczne
  • czynna choroba nowotworowa
  • radioterapia
  • chemioterapia
  • zaburzenia hematologiczne
  • choroby układowe
  • osteoporoza
  • alkoholizm
  • cukrzyca nie dająca się ustabilizować
  • totalny brak nawyków higienicznych, nie rokujący poprawy

Poprosimy Państwa o wykonanie niezbędnych,podstawowych badań laboratoryjnych. Możemy też wykorzystać badania zrobione wcześniej ,jeśli termin ich wykonania nie przekroczył dwóch miesięcy.

Będą to:

  • Morfologia z rozmazem
  • OB
  • Czas krwawienia
  • Czas krzepnięcia
  • Płytki
  • Cukier
  • Wapń, sód i potas w surowicy

Odchylenia od norm w wynikach badań laboratoryjnych są przeciwwskazaniem do wykonania zabiegu implantacji i najczęściej wynikają z istnienia schorzeń ogólnoustrojowych.

W trakcie tego badania stomatologicznego, dokładnie przebadamy stan Państwa jamy ustnej.

Ocenimy:

  • higienę jamy ustnej
  • błonę śluzową – jej grubość, ruchomość, barwę, występowanie zmian zapalnych, owrzodzeń, blizn
  • zęby – ich ruchomość, występowanie próchnicy
  • przyzębie – krwawienie, kamień, stany zapalne
  • bezzębne wyrostki szczęk – grubość, szerokość, ubytki kości, przewężenia

Badanie kliniczne dostarcza nam istotnych informacji o stanie jamy ustnej.
Choroby dziąseł, próchnica zębów, stany zapalne błony śluzowej i kości to miejscowe przeciwwskazania do zabiegu implantacji. Te stany chorobowe muszą być wyleczone przed planowanym zabiegiem.
W trakcie tego badania oceniane są także warunki kostne, a więc wysokość i szerokość wyrostka zębodołowego, w którym umieszczone mają być implanty. Mierzymy odległości między zębami graniczącymi z tym miejscem, a także odległość od zębów w szczęce przeciwstawnej – czyli tzw.warunki zgryzowe. Oceniamy grubość błony śluzowej, jej ruchomość i podatność.
Niekorzystne parametry powyższych pomiarów są powodem tzw. ograniczeń miejscowych do implantacji. Niewystarczająca ilość kości, nieprawidłowe ustawienie zębów, brak miejsca w zgryzie czy nieprawidłowa błona śluzowa to częste powody, dla których przed wszczepieniem implantów dentystycznych musimy przeprowadzić odbudowę kości, leczenie ortodontyczne lub periodontologiczne.
Do pełnej oceny warunków kostnych, czyli jej ilości i jakości będą nam jeszcze potrzebne badania radiologiczne kości szczęk.

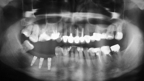
Zdjęcie pantomograficzne /panoramiczne/ – to podstawowe badanie radiologiczne, na podstawie którego możemy ocenić warunki kostne do wprowadzenia implantów dentystycznych.

Podstawowym, najistotniejszym czynnikiem dla powodzenia leczenia implantologicznego jest wystarczająca ilość kości, pozwalająca na wprowadzenie do niej wszczepów o odpowiedniej średnicy i długości. Jej ilość i jakość rzutuje na długoczasowość leczenia i właściwe efekty protetyczne i kosmetyczne. Badania radiologiczne wykonane przed zabiegiem pozwalają nam na dokładną ocenę warunków kostnych i położenia struktur anatomicznych w obrębie szczęk.

Wykonane w odpowiednie skali /np.1:1 lub 1:1,3/ pozwala nam na wykonanie dokładnych pomiarów interesujących nas struktur. Często, przed wykonaniem zdjęcia pantomograficznego do celów implantacyjnych umieszczamy w jamie ustnej tzw. markery, czyli metalowe kulki o średnicy 5 mm, które w obrazie rentgenowskim nie ulegają zniekształceniu. Dzięki nim, stosując później odpowiedni przelicznik związany ze skalą wykonanego zdjęcia mamy możliwość wykonania bardzo precyzyjnych obliczeń.

zdjęcie pantomograficzne

Na podstawie zdjęcia pantomograficznego możemy ocenić:

  • stan kości (gęstość, obecność zmian chorobowych, stopień jej zaniku)
  • wysokość wyrostka zębodołowego w miejscu planowanej implantacji
  • stan zębów
  • grubość błony śluzowej
  • położenie i rozmiary zatok szczękowych
  • przebieg nerwu zębodołowego dolnego
  • położenie otworów bródkowych
  • odległość do dna jamy nosowej

Tomografia komputerowa

Jeszcze dokładniejszym badaniem obrazowym jest wykonanie tomografii komputerowej szczęk. Dysponując takim nowoczesnym badaniem o trójwymiarowym obrazie jesteśmy w stanie ocenić już nie tylko wysokość, ale i szerokość wyrostka zębodołowego, a interesujące nas struktury anatomiczne szczęk dostępne są w dowolnym przekroju. Badanie to, w sposób maksymalny pozwala na prawidłowe zaplanowanie zabiegu wszczepienia implantów dentystycznych.

Brak przeciwwskazań ogólnych i miejscowych pozwala na przystąpienie do planowania zabiegu.
Ustalona zostaje metoda implantacji i sposób odbudowy protetycznej.
Lekarz na podstawie badania klinicznego, analizy modeli diagnostycznych oraz diagnostyki rentgenowskiej ustala optymalne miejsce dla wprowadzenia wszczepów oraz wymaganą ilość i rozmiary implantów. Często przygotowywane są dwa lub trzy alternatywne sposoby uzupełnienia brakujących zębów za pomocą implantów. Różnią się one ilością implantów, rozwiązaniami protetycznymi i kosztami.
Na tym etapie tworzony jest też wstępny kosztorys lub kosztorysy leczenia implantologicznego.

Nawigacja implantologiczna – przeniesienie plików tomografii komputerowej do komputerowego programu nawigacyjnego, to najwyższy poziom planowania zabiegu implantacji.
W naszej Praktyce planowanie wykonujemy za pomocą programu Simplant – pierwszego na świecie interaktywnego Systemu Planowania Leczenia Implantologicznego.


Simplant jest precyzyjnym programem umożliwiającym planowanie przed zabiegowe. Pozwala znaleźć idealne umiejscowienie implantów biorąc pod uwagę zarówno aspekty kliniczne jak i estetyczne.

Wprowadzone na ekranie komputera implanty, czyli zaplanowane leczenie implantologiczne wysyłane jest do firmy Materialise w Belgii, gdzie na jego podstawie wykonywane są indywidualne szablony chirurgiczne stosowane w czasie zabiegu. Ta nowoczesna i precyzyjna metoda planowania leczenia w dużym stopniu zwiększa margines bezpieczeństwa pacjenta, pozwala uniknąć nieprzewidzianych sytuacji w trakcie zabiegu oraz znacznie skraca jego czas.

Opracowany plan leczenia zostaje przedstawiony i dokładnie wytłumaczony pacjentowi. Jeśli plan leczenia posiada kika alternatywnych wariantów,każdy zostaje przedyskutowany z pacjentem z przedstawieniem wad i zalet tych rozwiązań.
Po akceptacji planu leczenia, pacjent dostaje do przeczytania formularz umowy z zawartą w nim „zgodą na zabieg”. Podpisanie umowy i „zgody na zabieg” upewnia lekarza, że pacjent jest w pełni świadomy na czym polegało będzie leczenie, jakie jest jego ryzyko oraz zdaje sobie sprawę z możliwości powikłań, które mogą się pojawić. Jednocześnie obliguje to pacjenta do przestrzegania wszystkich zaleceń ujętych w umowie oraz wzięcia na siebie obowiązków związanych z higieną i wizytami kontrolnymi.

Po podpisaniu umowy i „zgody na zabieg”, wyznaczony zostaje termin zabiegu implantacji oraz udzielona jest informacja o sposobie przygotowania się do niego.